The Daily Insight

Connected.Informed.Engaged.

general

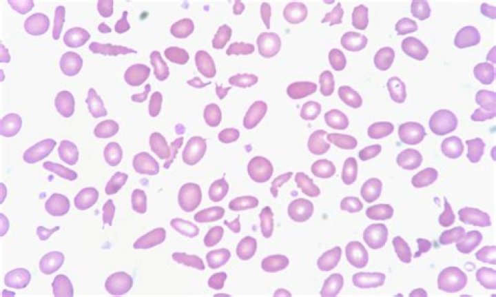
What causes Poikilocytosis

Written by Ava Richardson — 0 Views

Poikilocytosis is caused by another medical condition like anemia, red blood cell membrane defects like hereditary spherocytosis, many genetic causes like sickle cell disease, thalassemia, nutritional disorders like iron deficiency anemia, megaloblastic anemia, and other causes like renal and liver disease.

Why do I have Burr cells?

The presence of burr cells is often indicative of nothing more than an artifact, something created artificially, and is thus of no diagnostic or clinical significance. For example, red blood cells interacting with the glass of a microscope slide during a stained blood smear might result in the formation of burr cells.

What causes hemolysis?

Hemolysis inside the body can be caused by a large number of medical conditions, including many Gram-positive bacteria (e.g., Streptococcus, Enterococcus, and Staphylococcus), some parasites (e.g., Plasmodium), some autoimmune disorders (e.g., drug-induced hemolytic anemia, atypical hemolytic uremic syndrome (aHUS)), …

How do spur cells arise?

[2] When remodeled by the spleen in liver disease patients, acanthocytes develop more blunt spicules and become relatively more spherocytic; these are known as spheroacanthocytes or ‘spur cells.

Why does Macrocytosis occur?

Macrocytosis can occur when there is increased RBC production secondary to peripheral blood cell destruction (i.e., hemolysis) or loss (i.e., hemorrhage), leading to a reticulocytosis. Reticulocytes are incompletely processed RBCs and, therefore, are slightly larger than the average RBC.

What is Acanthocyte?

Acanthocytosis is a red cell phenotype associated with various underlying conditions. Acanthocytes (from the Greek word acantha, which means thorn), or spur cells, are spiculated red cells with a few projections of varying size and surface distribution (see the images below).

What is the most sensitive marker for iron deficiency anemia?

Serum ferritin and stainable iron in tissue stores are the most sensitive laboratory indicators of mild iron deficiency and are particularly useful in differentiating iron deficiency from the anemia of chronic disorders.

What does Anisopoikilocytosis mean?

Anisopoikilocytosis is when you have red blood cells that are of different sizes and shapes.

What causes basophilic stippling?

The presence of basophilic stippling is attributed to aggregates of ribosomes or fragments of ribosomal RNA precipitated throughout the cytoplasm of circulating erythrocytes. This finding is associated with acquired and heritable hematologic disorders affecting erythropoiesis and erythrocyte maturation.

What causes spur cell anemia?

Possible causes range from malnutrition, iron, folate, or vitamin B12 deficiency, bone marrow suppression, and even splenic sequestration (3). Severe hemolytic anemia is a rare phenomenon in patients with liver cirrhosis and could be associated with the presence of spur cells.

Article first time published on

What is another name for Acanthocyte?

Acanthocyte (from the Greek word ἄκανθα acantha, meaning ‘thorn’), in biology and medicine, refers to an abnormal form of red blood cell that has a spiked cell membrane, due to thorny projections. A similar term is spur cells.

What happens in individuals with spur cell anemia?

Spur cell anemia is an acquired hemolytic anemia associated with liver cirrhosis and is characterized by the presence of increased large red blood cells, which are covered with spike-like projections that vary in width, length, and distribution.

What are two conditions that cause polycythemia?

  • Hypoxia from long standing (chronic) lung disease and smoking are common causes of polycythemia. …
  • Chronic carbon monoxide (CO) exposure can also be a risk factor for polycythemia.

Which of the following toxin is a hemolysin?

Leukocidin/Hemolysin toxinStaphylococcus aureus alpha toxin from S. aureus (PDB: 7AHL​).IdentifiersSymbolLeukocidinPfamPF07968

What does it mean when blood is Hemolyzed?

“Hemo” means blood, of course; “lysis” means to rupture or the destruction of cells. So hemolysis is literally the destruction of blood cells, specifically red blood cells. When red cells rupture, they spill their contents, mostly hemoglobin, into their surroundings.

How serious is macrocytosis?

However, macrocytic anemias can cause long-term complications if left untreated. These complications can include permanent damage to your nervous system. Extreme vitamin B-12 deficiencies may cause long-term neurologic complications. They include peripheral neuropathy and dementia.

How serious is macrocytosis without anemia?

Macrocytosis without anemia is unlikely to result in specific signs or symptoms, and in many cases, may have minimal clinical significance. Patients should be screened for symptoms of anemia, including fatigue, generalized weakness, dyspnea, palpitations, lightheadedness, and syncopal or near-syncopal events.

What diseases cause large red blood cells?

  • Vitamin B-12 deficiency.
  • Folate deficiency.
  • Liver disease.
  • Alcoholism.
  • Hypothyroidism.
  • A side effect of certain medications, such as those used to treat cancer, seizures and autoimmune disorders.
  • Increased red blood cell production by the bone marrow to correct anemia, for example, after blood loss.

What Vitamin increases iron absorption?

Take vitamin C with your source of iron. Vitamin C increases absorption of both heme and non-heme iron absorption. Four ounces (1/2 cup) of orange juice is enough to increase iron absorption. Other sources of vitamin C include citrus fruit, fresh bell peppers, strawberries, cantaloupe, and fresh broccoli.

What level of anemia is severe?

Grade 1, considered mild anemia, is Hb from 10 g/dL to the lower limit of normal; grade 2 anemia, or moderate anemia, is Hb from 8 to less than 10 g/dL; grade 3, or severe anemia, is below 8 g/dL; grade 4, is life-threatening anemia; grade 5 is death (Table).

How do you confirm that patient is suffering from iron deficiency anemia?

To help diagnose iron-deficiency anemia, your doctor will consider your CBC, hemoglobin, blood iron levels, MCV, and ferritin levels to determine if you have iron-deficiency anemia or another type of anemia. You may be diagnosed with iron-deficiency anemia if you have low iron or ferritin levels in your blood.

What diseases are caused by Acanthocytes?

  • severe liver disease.
  • rare neural diseases, such as chorea-acanthocytosis and McLeod syndrome.
  • malnutrition.
  • hypothyroidism.
  • abetalipoproteinemia (a rare genetic disease involving an inability to absorb some dietary fats)
  • after spleen removal (splenectomy)

What causes spikes in red blood cells?

Blood cells have a layer called a membrane which has fats and proteins. Acanthocytes have an abnormal amount of these fats, or lipids, in odd proportions. That means the inner and outer surface areas of the blood cells are imbalanced. This causes them to harden, pucker, and form spikes.

What is a Macrocyte?

Medical Definition of macrocyte : an exceptionally large red blood cell occurring chiefly in anemias (as pernicious anemia) — called also megalocyte.

What stains Basophilic?

What structures are stained purple (basophilic)? DNA (heterochromatin and the nucleolus) in the nucleus, and RNA in ribosomes and in the rough endoplasmic reticulum are both acidic, and so haemotoxylin binds to them and stains them purple.

Why are there Hypersegmented neutrophils in megaloblastic anemia?

Neutrophil hypersegmentation is one of the earliest, most sensitive and specific signs of megaloblastic anemia (mainly caused by hypovitaminosis of vitamin B12 & folic acid). Nuclear hypersegmentation of DNA in neutrophils strongly suggests megaloblastosis when associated with macro-ovalocytosis.

What disorder occurs when erythrocytes produced have an irregular shape?

Poikilocytosis is the medical term for having abnormally shaped red blood cells (RBCs) in your blood. Abnormally shaped blood cells are called poikilocytes. Normally, a person’s RBCs (also called erythrocytes) are disk-shaped with a flattened center on both sides.

Why would your Rdw be high?

High results If your RDW is too high, it could be an indication of a nutrient deficiency, such as a deficiency of iron, folate, or vitamin B-12. These results could also indicate macrocytic anemia, when your body doesn’t produce enough normal red blood cells, and the cells it does produce are larger than normal.

How is thalassemia diagnosed?

If your doctor suspects your child has thalassemia, he or she can confirm a diagnosis with blood tests. Blood tests can reveal the number of red blood cells and abnormalities in size, shape or color. Blood tests can also be used for DNA analysis to look for mutated genes.

Can Normocytic anemia go away?

Because normocytic anemia is usually linked to a chronic health condition, the first priority in treatment should be effectively managing that condition. Treatments may involve anti-inflammatory medications for rheumatoid arthritis or weight loss for people with obesity.

Is anemia a symptom of cirrhosis?

Anemia is the most common complication of liver cirrhosis and is seen in 75% of cases. The etiology of anemia in liver disease is diverse and often multi-factorial.