The Daily Insight

Connected.Informed.Engaged.

general

What does Anthracotic mean

Written by Rachel Hunter — 0 Views

INTRODUCTION. Anthracosis

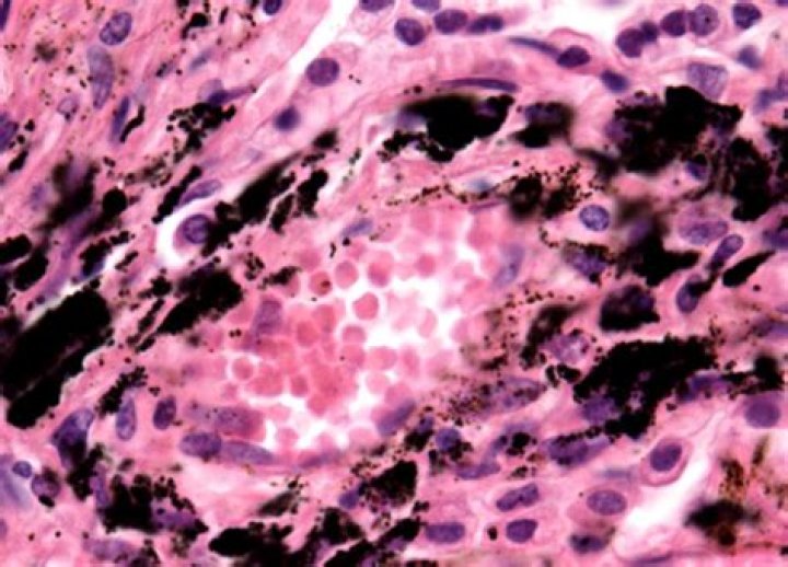
What is Anthracotic lymph node?

RATIONALE Nodal anthracosis results from the accumulation of black, carbon-containing pigment. within thoracic lymph nodes. This infrequently described condition may cause false-positive. hypermetabolic lymph nodes on F-18-fluorodeoxyglucose positron emission. tomography/computed tomography (FDG PET/CT).

What is Anthracosis of the lungs?

Anthracosis is black pigment discoloration of bronchi and can cause bronchial destruction and deformity (anthracofibrosis)1-11 (Fig. 1). Anthracosis is considered as a benign bronchial finding during bronchoscopy, and it is a rare finding in developed countries.

What is Anthracotic pigment?

Anthracosis is a kind of pneumoconiosis, and the term of “anthracotic” is related with black pigment, mostly due to carbon particle. Usually the deposition of black pigment is located in the macrophages of the mucosa and submucosa.

What is Anthracosis in medical surgical nursing?

A chronic lung disease resulting from repeated inhalation of coal dust. Inflammation of the lungs with extensive fibrous tissue formation leads to a reduction in lung function and sometimes severe disability.

Is Anthracosis an occupational disease?

Occupational Lung Diseases Work in mines, even in the distant past, may have been responsible for fibrotic lung disease (e.g. silicosis, asbestosis or berylliosis) or anthracosis and is associated with an increased risk of lung cancer.

What causes Anthracosis?

Anthracosis (anthrac- meaning coal, carbon + -osis meaning condition) is defined in Bioline as, “the asymptomatic, milder type of pneumoconiosis as caused by the accumulation of carbon in the lungs due to repeated exposure to air pollution or inhalation of smoke or coal dust particles” (1).

What is another name for black lung?

Coal workers’ pneumoconiosis (CWP), commonly known as “black lung disease,” occurs when coal dust is inhaled. Over time, continued exposure to the coal dust causes scarring in the lungs, impairing your ability to breathe. Considered an occupational lung disease, it is most common among coal miners.

What is a Byssinosis?

Byssinosis is a disease of the lungs. It is caused by breathing in cotton dust or dusts from other vegetable fibers such as flax, hemp, or sisal while at work.

What is Subpleural Anthracotic pigment?

The black streaks seen between lobules of lung beneath the pleural surface are due to accumulation of anthracotic pigment. This anthracosis of the lung is not harmful and comes from the carbonaceous material breathed in from dirty air typical of industrialized regions of the planet.

Article first time published on

What is another name for Anthracosis?

black lungblack lung diseasecoal miner’s lungminer’s lungpneumoconiosis

What is silicosis disease?

Silicosis is a long-term lung disease caused by inhaling large amounts of crystalline silica dust, usually over many years. Silica is a substance naturally found in certain types of stone, rock, sand and clay. Working with these materials can create a very fine dust that can be easily inhaled.

Is Anthracosis a fibrotic interstitial lung disease?

Respiratory Problems in the Tropics Work in mines, even in the distant past, may have been responsible for fibrotic lung disease (e.g. silicosis, asbestosis or berylliosis) or anthracosis and is associated with an increased risk of lung cancer.

Can you remove a lung?

Usually, one lung can provide enough oxygen and remove enough carbon dioxide, unless the other lung is damaged. During a pneumonectomy, the surgeon makes a cut (incision) on the side of your body. The surgeon cuts some muscle and spreads the ribs apart. He or she surgically removes the affected lung.

What is another name for classic silicosis?

SilicosisOther namesMiner’s phthisis, Grinder’s asthma, Potter’s rot pneumonoultramicroscopicsilicovolcanoconiosisFine silica dustSpecialtyPulmonology

What does black spots on your lungs mean?

A spot on the lung, which is also referred to as a lung or pulmonary nodule, could be an early indication of cancer. However, this is not usually the case. The appearance of a lung spot on an X-ray is quite common and usually indicates a benign condition.

What are black spots on the lungs?

Pulmonary nodules are common, and most are benign or noncancerous. Nodules are found on up to half of all lung CT scans. When a pulmonary nodule is cancerous, the spot or growth is usually larger than 3 cm or has other characteristics like an irregular shape.

Does black lung still exist?

In 2018, black lung disease in miners hit a 25-year high. In Appalachia, cases of black lung rose to levels unseen since the 1970s, when modern coal dust regulations were implemented. … Without protection and proper dust controls, workers inhale this toxic dust.

What is the main cause of silicosis?

Silicosis is an interstitial lung disease caused by breathing in tiny bits of silica, a common mineral found in many types of rock and soil. Over time, exposure to silica particles causes permanent lung scarring, called pulmonary fibrosis.

What is the oldest known occupational lung disease?

Silicosis is the oldest known occupational lung disease.

How does the level of carbon dioxide in the person's blood change when a person hyperventilates?

When a person hyperventilates they exhale more carbon dioxide than normal. As a result the carbon dioxide concentration in the blood is reduced and the bicarbonate/carbonic acid equilibrium shifts to the left. The corresponding drop in H3O+ concentration causes an increase in pH.

What is Brown Kitis?

Byssinosis is a rare lung disease. It’s caused by inhaling hemp, flax, and cotton particles and is sometimes referred to as brown lung disease. It’s a form of occupational asthma. In the United States, byssinosis occurs almost exclusively in people who work with unprocessed cotton.

What is brown lung?

byssinosis, also called brown lung, orbrown lung disease, respiratory disorder caused by inhalation of an endotoxin produced by bacteria in the fibres of cotton. Byssinosis is common among textile workers, who often inhale significant amounts of cotton dust.

What is Pulmonale?

Cor pulmonale is a condition that happens when a respiratory disorder results in high blood pressure in the pulmonary arteries (pulmonary hypertension). The name of the condition is in Latin and means “pulmonary heart.”

Does smoking blacken your lungs?

One single puff of cigarette smoke has thousands of chemicals. … Some of these chemicals are toxins which means they are harmful to the body. One of these toxins is called sticky tar. This sticky tar is black in colour and after years of smoking it builds up inside the lungs and causes them to become black too.

Is TB a black lung?

Black lung disease can leave people more susceptible to infectious diseases, including tuberculosis (TB). Tuberculosis is a contagious disease that may require intensive treatment. People with black lung disease should be tested annually for tuberculosis.

Which organ is affected by silicosis?

Silicosis is your body’s reaction to silica dust buildup in your lungs. When you breathe in silica, the tiny particles of dust settle deeply into your breathing passages. Scar patches form on your lung tissue. Scarring stiffens and damages your lungs, and this makes it hard to breathe.

Is sarcoidosis a lung disease?

Sarcoidosis is a rare disease caused by inflammation. It usually occurs in the lungs and lymph nodes, but it can occur in almost any organ. Sarcoidosis in the lungs is called pulmonary sarcoidosis.

Which occupational disease is caused by sugarcane powder?

BagassosisSpecialtyPulmonology

Which situation will happen when you have emphysema?

In emphysema, the inner walls of the lungs’ air sacs (alveoli) are damaged, causing them to eventually rupture. This creates one larger air space instead of many small ones and reduces the surface area available for gas exchange. Emphysema is a lung condition that causes shortness of breath.

Which type of pneumonia affects just one lobe of a lung?

Bacterial pneumonia often affects just one part, or lobe, of a lung. When this happens, the condition is called lobar pneumonia.