The Daily Insight

Connected.Informed.Engaged.

general

What is Paraurethral cyst

Written by David Richardson — 0 Views

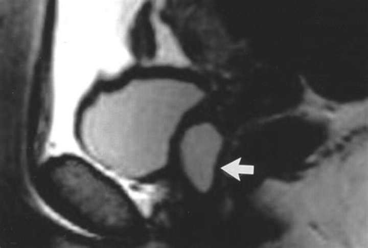
Paraurethral Cyst Paraurethral cysts, also known as Skene’s glands, are found in the wall of the vagina near the urethra. In a newborn, Skene’s duct can become blocked by a large cyst filled with hormone secretions. Sometimes the cyst may close off the urethral opening.

Are urethral cysts common?

Cysts that form inside the lining of the urinary bladder, the hollow organ where urine collects before it’s eliminated from the body, are very rare in those with an otherwise normal urinary tract.

What causes Skenitis?

Skenitis is an infection of the Skene’s glands, which can also cause the surrounding tissues to become inflamed. Gonorrhea is the most common cause of this type of infection, but it may also be caused by a UTI.

What causes a Gartner duct cyst?

These glands sit on either side of the opening to the vagina and produce the fluid that lubricates the vaginal lips (labia). Gartner’s duct cysts occur when ducts in a developing embryo don’t disappear as they are supposed to after the baby is born. These remaining ducts can form vaginal cysts later in life.

How is a Parameatal urethral cyst treated?

Parameatal urethral cyst is an ultra rare benign condition, and only a few cases have been reported in the literature. These cysts are usually asymptomatic, and may resolve spontaneously, although surgical excision is necessary for symptomatic patients.

What causes female urethritis?

Urethritis can be caused by a bacterial or viral infection. Such an infection can lead to conditions such as a urinary tract infection (UTI) or sexually transmitted disease (STD). Urethritis can also be caused by injury or sensitivity or allergy to chemicals in lotions and other products.

How is a Parameatal urethral cyst removed?

The parameatal cyst is a quite unfamiliar lesion occurring in males. Although the cysts are usually asymptomatic, patient may present for poor cosmesis of genetalia or splaying of urinary stream. The treatment of choice is complete excision as marsupialisation of the cysts result in cosmetically unsatisfactory outcome.

Can a cyst cause frequent urination?

Most cysts don’t cause any symptoms and go away on their own. A large ovarian cyst can cause abdominal discomfort. If a large cyst presses on your bladder, you may feel the need to urinate more frequently because bladder capacity is reduced.

Can UTI cause cyst?

If you suspect you have a UTI, seek treatment immediately from your doctor. The infection usually starts in the bladder, but it can spread to the cysts in the kidneys. These infections are more difficult to treat because many antibiotics cannot penetrate into the cyst fluid.

How do you get rid of Gartner duct cysts?

In large and symptomatic or recurrent cysts, excision or marsupialization is indicated [4]. Cyst marsupialization is a simple minimally invasive procedure, which creates minimal surgical scarring and results in the pathological diagnosis of a Gartner duct cyst.

Article first time published on

Can a Gartner duct cyst be cancerous?

Malignant transformation of Gartner cysts is exceedingly rare. Our case was diagnosed upon evaluation of vaginal bleeding in a 67-year-old woman. Histologic examination showed a clear cell carcinoma. Treatment consisted of surgical excision and radiation therapy.

Do Gartner cysts go away?

Gartner duct cysts develop on the side walls of the vagina. Gartner duct is present while a baby is developing in the womb. However, this most often disappears after birth. If parts of the duct remain, they may collect fluid and develop into a vaginal wall cyst later in life.

What is Skenitis?

Skenitis refers to the infection of the Skene’s glands. Skene’s glands are paraurethral glands localized on the upper wall of the vagina.

Where are Skene glands located?

Skene’s gland cysts are rare. They may or may not cause symptoms, but can sometimes be filled with pus. The Skene’s glands are located on either side of the urethra in people AFAB. Researchers think that these glands may secrete fluid that helps with urination and cleanliness.

Can females get prostatitis?

Infection. Prostatitis is a condition that causes swelling of the prostate gland in men. In women, female prostatitis has been diagnosed as an infection of the urethra, but may actually be an infection of the Skene’s glands. In the past this has been diagnosed as infection of the urethra.

What is Parameatal cyst?

A parameatal cyst is a benign, usually asymptomatic condition that may contain a variety of epithelial types. A physical examination is sufficient to make a diagnosis and a complete surgical excision is necessary to obtain good cosmetic results without recurrence.

What causes an epidermal inclusion cyst?

Epidermal inclusion cysts form when the follicular infundibulum is disrupted, or when the surface of the skin becomes implanted below the skin through an injury or trauma in the area, such as a scratch, surgical wound or a skin condition like acne.

What is female urethral meatus?

Meatus, female urethral: The meatus (opening) of the female urethra, the transport tube that leads from the bladder to discharge urine outside the body. The female urethral meatus is above the vaginal opening.

Can you get ulcers in your urethra?

Visible sores and ulcers often form on the external genitalia. Lesions may also be present on the urethral lining. Syphilis: An open sore called a chancre characterizes the primary stage of syphilis. Unlike with herpes, these ulcers are less likely to be painful.

What is the bump on meatus?

Pearly penile papules are small round bumps along the rim of the head of the penis. While seeing small bumps on their penis may be alarming for a teen, these bumps (or papules) are generally nothing to worry about. If your teen is sexually active, they might be afraid they have a sexually transmitted infection (STI).

What is the correct code for a cyst of the Bulbourethral gland?

N36. 8 is a billable/specific ICD-10-CM code that can be used to indicate a diagnosis for reimbursement purposes. The 2022 edition of ICD-10-CM N36. 8 became effective on October 1, 2021.

Is urethritis always caused by an STD?

Urethritis is usually caused by a sexually transmitted infection (STI) but not always. It can occur within a stable relationship.

What virus causes urethritis?

Both bacteria and viruses may cause urethritis. Some of the bacteria that cause this condition include E coli, chlamydia, and gonorrhea. These bacteria also cause urinary tract infections and some sexually transmitted diseases. Viral causes are herpes simplex virus and cytomegalovirus.

Can you have urethritis without STD?

It’s usually caused by an infection. The term non-gonococcal urethritis (NGU) is used when the condition is not caused by the sexually transmitted infection gonorrhoea. NGU is sometimes referred to as non-specific urethritis (NSU) when no cause can be found.

How do you know if a cyst has burst?

Symptoms you may experience if you have a ruptured ovarian cyst include: Sudden, sharp pain in the lower belly or back. Vaginal spotting or bleeding. Abdominal bloating.

Can a cyst cause kidney infection?

Kidney cysts are round fluid-filled sacs that form in the kidneys. In most cases, simple kidney cysts do not cause complications or affect kidney function in any way. However, they may cause pain, become infected, or cause other symptoms if they grow too large.

Does cyst mean bladder?

Cysts are pockets of tissue filled with air, pus, or other types of fluid. They may appear anywhere on the body, internally or externally. Bladder cysts tend to form in the lining of the bladder. They are relatively rare in people who have a normally functioning urinary tract.

What can happen if a cyst is left untreated?

Some cysts are cancerous and early treatment is vital. If left untreated, benign cysts can cause serious complications including: Infection – the cyst fills with bacteria and pus, and becomes an abscess. If the abscess bursts inside the body, there is a risk of blood poisoning (septicaemia).

Is a 4 cm ovarian cyst big?

The size of a cyst directly corresponds to the rate at which they shrink. Most functional cysts are 2 inches in diameter or less and do not require surgery for removal. However, cysts that are larger than 4 centimeters in diameter will usually require surgery.

What is the best medicine for ovarian cyst?

Over-the-counter medication Non-steroidal anti-inflammatory drugs (NSAIDs), such as ibuprofen, can treat the pain caused by ovarian cysts, as well as period cramps. Women who get no relief from NSAIDs should contact their doctor, since intense pain may point to a severe complication.

What does a Gartner cyst feel like?

[4] Gartner’s duct cysts are generally asymptomatic and most commonly diagnosed upon routine gynecologic examination, but patients’ complaints can include that of skin tag, dysuria, pressure, itching, dyspareunia, pelvic pain, or protrusion from the vagina if it enlarges to a detectable size, making it a candidate for …